
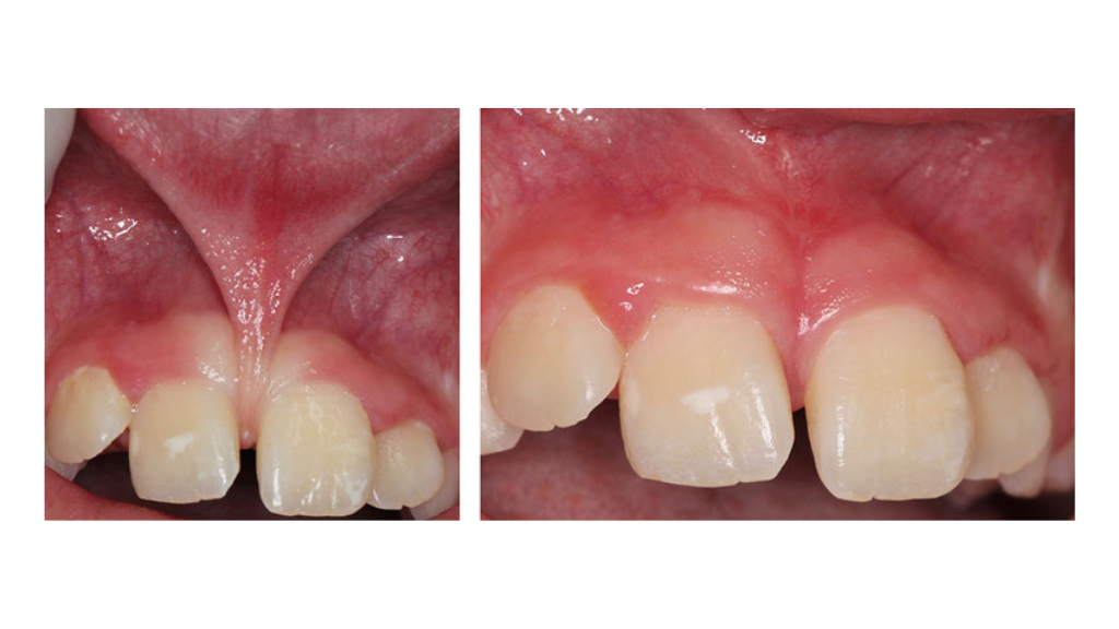
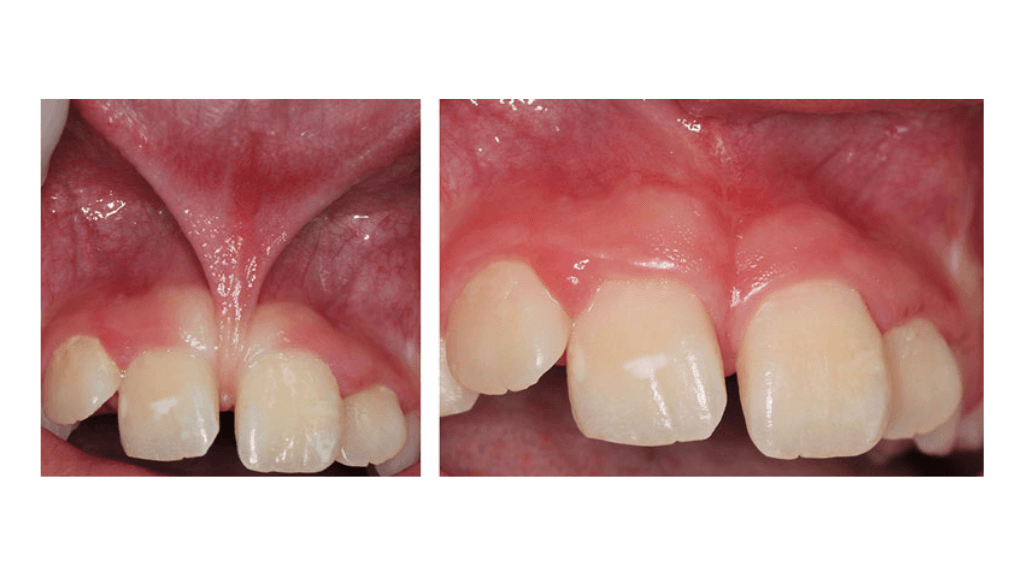
Frenectomy
Gentle laser procedure to correct tongue-tie and lip-tie in infants and children.
Does your baby struggle with breastfeeding or speech? A frenectomy is a minor procedure that removes a tight frenulum (tongue-tie or lip-tie) that restricts movement. We use laser technology for a quick, minimally invasive solution.

Improving Quality of Life
Tight tissues can cause difficulty latching, speech issues, and dental gaps. Our gentle approach solves these issues instantly, promoting better feeding and weight gain for infants.
Benefits for Infants
Improved Breastfeeding
Better latching success immediately.
Better Weight Gain
Efficient feeding for the baby.
Speech Development
Prevents speech impediments later in life.
Reduced Frustration
For both mother and child.
Ready to wear your
best smile?
Join the 10,000+ happy patients who have trusted Tooth 'n' Implants with their oral health. Your journey begins with a single step.